医院科室
放射影像中心特色扫描技术
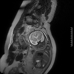
1.胎儿MRI扫描:胎儿成像的首选检查手段为超声,其操作简单,无创,快速,实时,价格低廉,特别适合大范围人群筛查,但也有不足之处,如超声难以穿越胎儿颅骨,视野偏小,对母体肥胖,有子宫肌瘤,羊水过少,多胎等情况时,对胎儿显示效果欠佳。磁共振则不受到这些因素影响,对羊水过少,双胎,及孕晚期胎头入盆或胎儿颅骨骨化,胎儿磁共振可以起到明显的补充作用。




MRI乳腺高分辨成像:磁共振乳腺高分辨成像技术能够相较于钼靶机能够提供更舒适的检查环境,同时一次扫描,双侧成像,覆盖腋窝淋巴结。


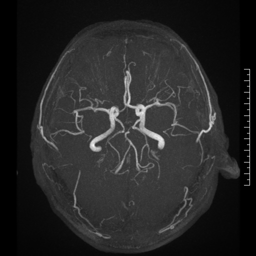
颅脑血管MRA功能检查:脑血管筛查的重要手段,对脑血管狭窄,脑动脉瘤和脑血管畸形都可以做一个初步诊断和评估,优点是不需要对比剂,无创和无辐射的,脑血管筛查的重要手段,对脑血管狭窄,脑动脉瘤和脑血管畸形都可以做初步诊断和评估,优点是不需要对比剂,无创和无辐射的。


磁共振胰胆管水成像(MRCP):胰胆管疾病的常规影像学检查方法,其主要优点为无损伤性、无辐射性、无需使用造影剂,能清晰显示完整的解剖结构,又可多次检查,并能客观、准确地反映自然状态胆囊管的形态,其优越性是超声、CT、经内镜逆行胰胆管造影(ERCP)无法比拟的。


CT三维重建一最小密度投影(minIP)显示气道、支气管异物。




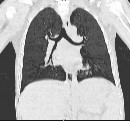
CT三维重建一容积漫游技术(VRT)肋骨成像。

