十堰市妇幼保健院超声科特色业务介绍
十堰市妇幼保健院超声医学科设备精良、人员优秀,以产科、妇科、儿科超声为主,打造胎儿系统超声、胎儿超声心动图、妇科超声及儿科超声等特色技术,设有专门的会诊中心,每年接收来自市内的疑难复杂病例的会诊工作,在市内具有较好的声誉和较强的影响力。
胎儿系统超声检查
俗称"大排畸“检查,对胎儿进行全面系统的结构筛查,能诊断出是否存在严重的结构畸形,从而降低严重缺陷儿出生。
超声医学科在市内率先开展了胎儿系统超声检查,是金牌强项,在市内保持领先地位,承担来自市内外的疑难复杂病例的超声会诊工作。

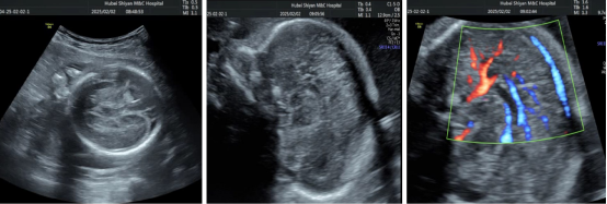
胎儿超声心动图
是超声医学科的名片,是金牌强项,是开展时间最早、诊断疑难病例最多的亚专业,承担来着市内外的疑难复杂病例的超声会诊工作。在多切面联合扫查的基础上运用三节段分析法,将胎儿心脏多个切面有序联合,可以快速判断胎儿心脏是否正常,精确诊断胎儿心脏畸形。

胎儿颅脑神经学超声检查
胎儿颅脑神经学超声检查是它利用高分辨率超声探头对胎儿大脑、小脑、脑干、脊柱及周围结构进行详尽、系统的评估,能显著提高胎儿中枢神经系统异常的检出率和诊断准确性。

三节段分析法精准诊断胎儿唇腭裂
通过上唇、上牙槽突及继发腭三个节段有序联合,判断胎儿唇腭的发育情况,精确诊断胎儿唇裂畸形。

胎儿产前多普勒技术
胎儿多普勒超声可以准确评价胎儿血流动力学,胎儿出现宫内窘迫时,其血流动力学指标会出现明显变化,应用产前多普勒技术可明显改善妊娠结局。

盆底及子宫三维超声
子宫三维超声通过透明成像、表面成像、多平面成像、三维彩超重建等技术,清晰显示病变情况,直观显示病变部位与周围组织关系。
盆底三维超声:在全市率先开展了盆底三维超声,首创了应用阴道气体线诊断子宫脱垂,既能静态观察盆底解剖结构,还能动态评估盆底功能的优点,为广大女性的盆底健康提供有力护航。

七步筛查法诊断小儿先天性心脏病
选用经典的七个超声切面,对小儿心脏结构进行规范、系统的筛查,实现对小儿常见的先心病进行精准诊断。

高低频超声诊断小儿颅脑
高频超声联合低频超声能更加全面反映颅内病变,能进一步提高阳性检出率,为新生儿颅脑疾病预后评估提供重要依据。

动静结合法诊断小儿髋关节发育不良
静态扫查联合动态观察能更加全面、客观评估小儿髋关节发育情况,为发育性髋关节发育不良的治疗和预后提供重要依据。

小儿肺超声
肺超声是一种没有辐射、没有创伤的检查方法,肺部超声可以多方位、多角度、实时动态反复检查,为临床提供肺部的超声诊断信息,尤其适合于新生儿及小儿。

乳腺BI-RADS的超声分级
应用国际通用的乳腺BI-RADS超声分级评估系统,对乳腺包块进行评估分类,实现精准诊断、精准治疗。
